
If you’re looking for a solution to restore your smile, dental implants are a great option to consider. Dental implants are artificial tooth roots that are placed into the jawbone to support replacement teeth or bridges. In this article, we’ll provide a comprehensive guide to dental implants in Senawang, Malaysia, including what they are, how they work, their benefits, and the cost of the procedure.
Dental implants are a popular and effective way to replace missing teeth. They are made of titanium or other biocompatible materials that are surgically placed into the jawbone. The implant fuses with the bone, creating a strong and sturdy base for replacement teeth or bridges.
There are two types of dental implants: endosteal and subperiosteal. Endosteal implants are placed directly into the jawbone, while subperiosteal implants are placed on top of the jawbone but under the gum tissue. Your dentist can help determine which type of implant is right for you based on your individual needs.
The dental implant procedure typically involves three main steps: implant placement, abutment placement, and crown placement. First, the implant is surgically placed into the jawbone. Over the next few months, the implant fuses with the bone in a process called osseointegration. Once the implant has fused with the bone, an abutment is placed on top of the implant to connect the implant to the replacement tooth or bridge. Finally, the replacement tooth or bridge is attached to the abutment.
Dental implants offer a number of benefits, including:
The cost of dental implants in Senawang, Malaysia can vary depending on a number of factors, including the number of implants needed, the type of implant, and the experience of the dentist performing the procedure. On average, a single dental implant in Senawang can cost between RM 3,000 to RM 6,000.
When choosing a dental implant dentist in Senawang, it’s important to do your research and choose a reputable and experienced dentist. Look for a dentist who has specialized training in dental implant procedures, and be sure to read reviews from other patients to ensure a positive experience.
After your dental implant procedure, it’s important to take good care of your implants to ensure their long-term success. This includes regular brushing and flossing, as well as regular check-ups with your dentist.
Drop us a call or WhatsApp on your questions about orthodontics and we’ll reply to you shortly
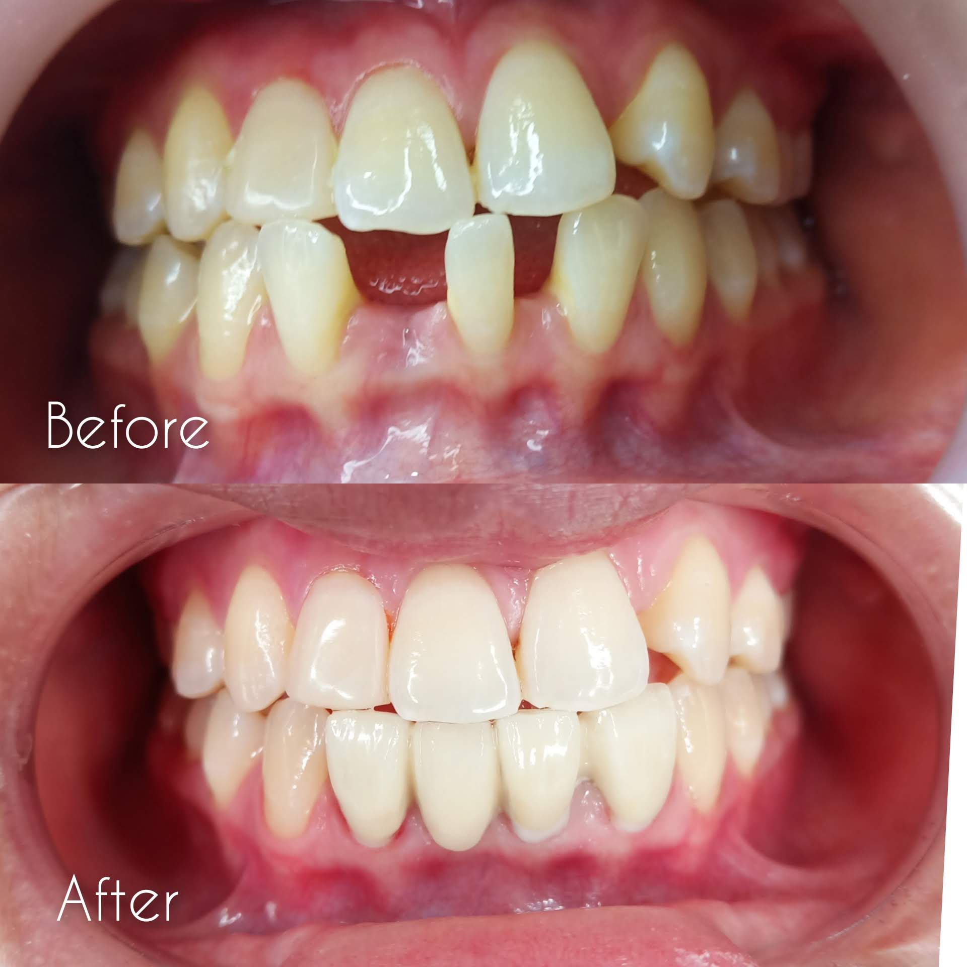
Our patients in Senawang have great experience with their dental implants
Alhamdulillah.. service yg terbaik dari Dr Hafiz dan Dr Izzah. Sgt teliti dan berhalus. Tak rasa sakit.. anak2 pun tak takut nak jumpa doktor gigi.. Semoga terus sukses dan mendpt lebih ramai patients. Aaamiin. 👍🤩
Went to the clinic today for scaling and whitening. Warmly greeted by friendly and helpful staffs. For someone who is super afraid of seeing dentist (since forever lol) I am truly surprised on how easy and peaceful this experience is. The doctor is very kind and patient and always asking if I am feeling okay or in pain. Had an amazing 3 hours there and will definitely come again! Oh, the clinic is very clean and the ambience is great (read: listening to some hits songs while scaling to kill the nervousness and pain is such a good idea tho) 😂. Thank you !
Best service in town. I myself get a detail consultation before getting tooth remove. The process was not that scary as I had imagined. To Dr Izzah, thanks for your great service. Very recommended.
The dental implant procedure itself is usually not painful, as it is done under anesthesia. However, some mild discomfort and swelling may occur after the procedure.
The dental implant process typically takes several months, as it involves the process of osseointegration, where the implant fuses with the bone. However, the length of the process can vary depending on individual circumstances.
Some insurance plans may cover a portion of the cost of dental implants, but it's important to check with your insurance provider to determine what is covered under your plan.
